
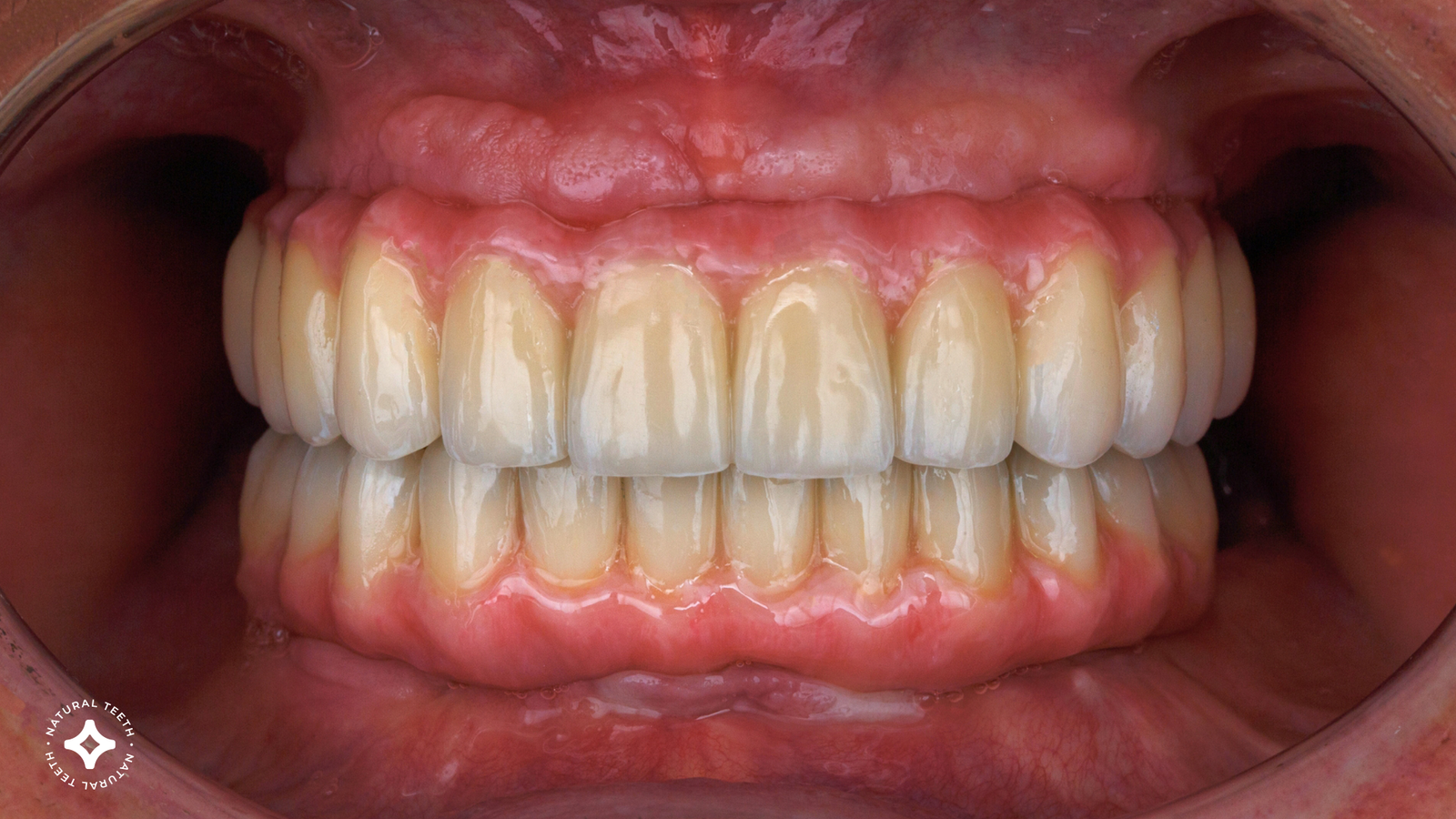
All on 4 Dental Implants Jacksonville Cost, Benefits, and Local Experts
All-on-4 Dental Implant Costs Guide In Florida If you are missing all teeth in an arch, All on 4 Dental Implants Jacksonville represent a revolutionary solution. Understanding

All-on-4 Dental Implant Costs Guide In Florida If you are missing all teeth in an arch, All on 4 Dental Implants Jacksonville represent a revolutionary solution. Understanding

Permanent Dental Implants If you’re missing many or all of your teeth, full mouth dental implants represent a life-changing solution. But is this the right solution for you

Full Mouth Dental Implants Jacksonville Understanding the investment for a permanent smile is crucial. This guide to Dental Implants Jacksonville FL Cost provides a clear pricing guide and

Affordable Dental Implants Jacksonville Considering dental implants in Jacksonville? This is your complete guide to cost, procedure & care for this transformative tooth replacement option. The procedure involves surgically placing

Dental Implants Cost vs. Bridges & Dentures When considering teeth replacement options in Jacksonville, navigating the choices can be challenging. This comparative guide to implants, bridges, and

Dental Implants in Just Two Visits in Jacksonville: How the Procedure Works at Natural Teeth Implant Center At Natural Teeth Implant Center, we do not

How to Choose the Best Dental Team in Jacksonville Choosing the right provider is the most critical step in your implant journey. When finding the best

Full Mouth Dental Implants Jacksonville If you’re missing a full arch of teeth, understanding the All on 4 Dental Implants Cost in Jacksonville is a crucial step.

Dental Implant Cost Jacksonville FL When researching the cost of dental implants in Jacksonville, patients deserve transparent information. This honest pricing analysis aims to clarify what you can

Pricing & Financing in Jacksonville, FL Dreaming of a restored smile with affordable dental implants in Jacksonville? The investment is significant, but numerous financing options exist to make